Tratamientos
Fotos Casos
Equipo
Publicaciones
Contacto
Tratamientos
Fotos Casos
Equipo
Publicaciones
Contacto
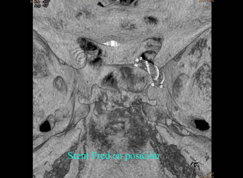
Aneurisma de cara posterior de A1