Tratamientos
Fotos Casos
Equipo
Publicaciones
Contacto
Tratamientos
Fotos Casos
Equipo
Publicaciones
Contacto
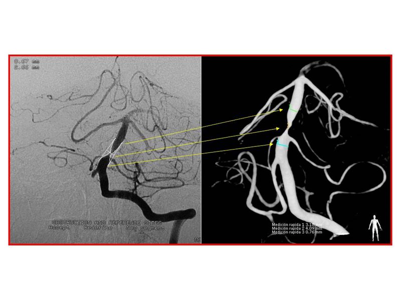
Estenosis Basilar